受診時の注意事項

ホワイトニングを受診される際は、事前に以下の内容をご確認ください。

  • ホワイトニングは保険診療ではないため、保険証は必要ありません
  • 人工的な詰め物や被せ物は白くすることができません
  • 効果には個人差があります
  • 妊娠中、授乳中、13歳以下の方、光過敏症の方、無カタラーゼ症の方は受けていただくことはできません
  • 施術後24時間は、なるべく色の濃い飲食物はお控えください

美容歯科ホワイトニング

「早く白くしたいけれど、
オフィスホワイトニングは高額で時間が気になる…」

「ホームホワイトニングは手軽だけど、
もっと早く効果を感じたい!」

そんな方に朗報です!

当院では、「美容歯科」として、それぞれの良いところを組み合わせた「ナマラホワイトニング」を導入しております。
オフィスホワイトニングの即効性と、ホームホワイトニングの手軽さを兼ね備えた画期的な方法です。

時間は経ったの20分。しみにくい。歯科医院で施術

ホワイトニングについて

輝く白い歯へ!ホワイトニング

歯の色を気にせず、もっと自信を持って笑いませんか?

歯科医院で、スピーディーに白くツヤのある歯に!

歯科医院で行う医療ホワイトニングです。当院では、「Namara Whitening(ナマラ ホワイトニング)」を採用しております。

※namaraは北海道弁で「とても」の意味

☆最初の2~3回は2週間おきにご来院いただくと一気に白くなり、長くキレイを保つことができます!

特徴

  • 短時間(約20分)

  • 比較的しみにくい

  • 効果を実感しやすい

お得なチケットもご用意!

3回分チケット購入で10分(7,000円分)プレゼント

5回分チケット購入で10分照射(7,000円分)×2=14,000円分プレゼント

2種類のお得なチケットをご用意しています。詳しくはスタッフまでお声掛けください。

費用(Namara Whitening)

¥14,000(税込)《要予約》

内容:LEDライト照射、ホームホワイトニングペン(約10日分)付き

※着色が強い場合は別途クリーニング(+¥3,000)推奨

※効果維持のため3~4ヶ月毎の施術が目安/効果に個人差あり(カウンセリングスペースで行います。)

ホワイトニングはこんな方におすすめ

すぐに効果を
実感したい方

通院時間が
とりにくい方

後戻りをできるだけ
防ぎたい方

結婚式や発表会などの
イベントを控えている方

歯科医院でプロケアをしてほしい方

トーンアップ事例

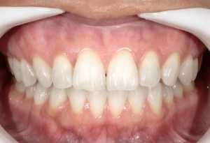
ホワイトニング前の歯の写真

ホワイトニング前

歯と歯の間に黄ばみ

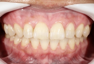
LED照射後の歯の写真

LED照射後

歯間部の黄ばみが白くなり全体にツヤ

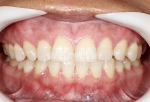
ホームホワイトニング後の歯の写真

ホームホワイトニング後

2週間の実施後、色ムラ・黄ばみがほとんどなく白くツヤのある歯に

受診時の注意事項

ホワイトニングを受診される際は、事前に以下の内容をご確認ください。

  • ホワイトニングは保険診療ではないため、保険証は必要ありません
  • 人工的な詰め物や被せ物は白くすることができません
  • 効果には個人差があります
  • 妊娠中、授乳中、13歳以下の方、光過敏症の方、無カタラーゼ症の方は受けていただくことはできません
  • 施術後24時間は、なるべく色の濃い飲食物はお控えください